Electric toothbrushes have grown in popularity in recent years, and for good reason. They offer convenience, superior plaque removal, and features
How Often Can I Have My Teeth Whitened?
A bright, white smile is one of the most sought-after features in modern dental aesthetics. With so many options available today, from in-office treatments
Is It Safe to See the Dentist While I’m Pregnant?
A woman’s pregnancy is a wonderful and life-changing period. As your body nurtures new life, it also undergoes a wide range of changes,
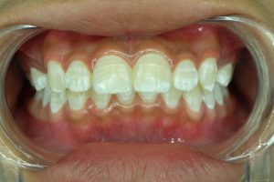
Why Are There White Spots on My Teeth?
Have you ever looked in the mirror and noticed chalky or bright white patches on your teeth, especially when you smile in natural light?
Do I Need to Scrape My Tongue?
Tongue scraping is a straightforward yet very effective dental hygiene treatment that involves using a specifically developed instrument to cleanse the surface
How Often Should I Change My Toothbrush?
Brushing our teeth is one of the first habits we learn as kids simple routine that becomes the foundation of lifelong oral health. But here’s a question most […]
Do Dentists Remove Tooth Enamel Before Placing Veneers?
Porcelain teeth are one of the most popular aesthetic dental solutions for individuals looking to improve the appearance of their smile. They are thin, custom-made shells designed to […]
Think You Might Have Gum Disease? What to Know
Your gums do more than just support your teeth—they protect your oral health. But when they start to bleed, swell, or recede, they may warn you about something […]
What to do if a Dental Veneer Falls Off?
Dental veneers are a fantastic modern invention that millions of people have taken advantage of. If you have dental veneers in Gilbert, AZ, you already know their power […]
Avoid These Foods For Better Oral Health
A healthy smile is more than just a confidence booster—it’s a reflection of your overall well-being. While brushing and flossing are essential for maintaining oral health, professional dental […]